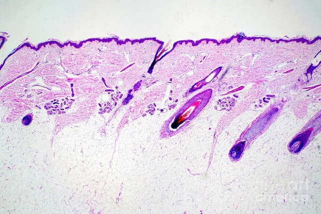
Saç, insan vücudunun hem estetik açıdan önemli hem de çevresel faktörlere karşı koruyucu özelliğe sahip özel bir dokusudur. Üç ana bölümden oluşur: saç kökü, saç folikülü ve saç teli. Saç kökü saçın canlı kısmıdır ve burada saç doğar, damarlar yoluyla beslenir. Saçın rengi, kalınlığı ve şekli bu bölümde belirlenir. Kök bölgesindeki hücreler sürekli çoğalarak saç telinin uzamasını sağlar.
Saç folikülü, her bir saç telinin çıktığı tüp yapısıdır. Folikülün en dip kısmında papilla adı verilen merkez bulunur ve bu bölüm saçın büyümesini sağlar. Saçın büyüme döngüsü üç evreden oluşur: anajen (büyüme), katajen (geçiş) ve telojen (dinlenme ve dökülme). Bu döngü, saçın belli aralıklarla dökülüp yeniden çıkmasını mümkün kılar. İnsan yaşamı boyunca saç büyüme döngüsü ortalama 20 kez tekrar eder.
Saç teli ise saç derisinden itibaren dışarıya çıkan ve gözle görülebilen kısımdır. Büyük ölçüde keratin adı verilen güçlü bir proteinden oluşur. Keratin, saçın yıpranmaya ve aşınmaya karşı dayanıklı olmasını sağlar. Saç telinde hidrojen ve disülfid bağları bulunur. Disülfid bağları kalıcı şekillendirme işlemlerinde (perma, düzleştirme, boyama) etkilidir, hidrojen bağları ise su ve ısı ile geçici olarak bozulur ve kuruduğunda tekrar eski halini alır.
Saç teli üç katmandan meydana gelir. En içte yer alan medulla genellikle kalın telli saçlarda bulunur. Korteks, orta tabaka olarak saçın kalınlığını ve dayanıklılığını belirler, ayrıca saç rengini veren melanin pigmentleri de burada bulunur. En dış tabaka olan kütikül ise saçın parlaklığını sağlayan şeffaf pullardan oluşur ve dış etkenlere karşı koruma görevi görür.
Sonuç olarak saç, oldukça karmaşık ve hassas bir yapıya sahiptir. Sağlıklı saçlar için saç kökü ve foliküllerin yeterince beslenmesi, kütikül tabakasının kimyasal ve ısısal işlemlerle zarar görmemesi ve saç derisinin sağlığının korunması büyük önem taşır.









